Riauaktual.com - Ketika orang dewasa tidak sengaja tersedak saat makan maka hasil diagnosa tidak langsung terlihat. Hasil diagnosa terkadang bisa tertunda selama berminggu-minggu hingga berbulan- bulan.
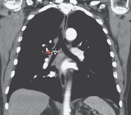
Gambar berikut ini menunjukkan tulang ayam yang bersarang di paru-paru. Seorang pria asal Australia, tersedak saat makan ayam. Setelah kejadian tersebut, ia merasa ada sesuatu yang tersangkut di tenggorokannya.
Tanpa menunggu lama, pria ini memeriksa dirinya ke rumah sakit. Anehnya, hasil pemeriksaan menggunakan sinar X di leher dan dada tidak menunjukkan sesuatu yang mencurigakan. Dengan saran dokter, pria ini dapat dipulangkan.
Lima hari kemudian, pria ini mengalami demam dan sesak nafas. Selain itu, ia juga mendengar ada suara mengi bernada tinggi ketika menghirup nafas. Apa yang sebenarnya terjadi? Simak dalam artikel berikut ini ya.
Pria tersebut melakukan pemeriksaan kedua. Kali ini doter melakukan CT scan. Mengejutkan, hasil scan menunjukkan ada tulang ayam di bagian kanan "bronchus mainstem," yaitu saluran udara yang bercabang dari trakea ke paru-paru. Bagaimana bisa tulang ayam itu tidak terdeteksi selama lima hari dan di pemeriksaan pertama kali?
Alasannya adalah, ketika orang dewasa tidak sengaja tersedak saat makan maka hasil diagnosa tidak langsung terlihat. Hasil diagnosa terkadang bisa tertunda selama berminggu-minggu hingga berbulan- bulan.
Dalam kasus pria Australia ini, diagnosis yang tertunda dapat menyebabkan komplikasi, termasuk pneumonia pasca obstruktif , atau peradangan yang terjadi di sekitar paru-paru pria tersebut. Setelah menjalani operasi dan pemeriksaan kesehatan, pria ini sembuh. (Wan)
Sumber: www.lovintopost.com/2018/05/tersedak-tulang-ayam.html?m=1
